Como a histologia pode ajudar a entender a “anomalia” da soja no campo

Por Heloiza Leonardi (Esalq); Carlos Guilherme Theodoro, Gustavo Farias e outros

12.07.2025 | 16:21 (UTC -3)

O termo “anomalia” passou a ser amplamente utilizado por produtores rurais da região da BR-163, especialmente após a safra 2018/2019, para descrever um novo quadro fitossanitário que afeta a soja em fases reprodutivas. Segundo o dicionário da língua portuguesa, “anomalia” é definido como uma condição anormal, irregular ou fora do comum.

Diante disso, agricultores e técnicos passaram a empregar essa denominação para caracterizar sintomas atípicos observados a partir do estádio R5.1, como podridão de vagens e quebramento de hastes, que não se enquadravam nas doenças tradicionalmente conhecidas da cultura. O uso do termo se justifica pela manifestação incomum desses sintomas, que fogem ao padrão fisiológico esperado para a soja.

Estima-se que, a depender das condições climáticas da safra e das cultivares utilizadas, os danos provocados pela chamada “anomalia” da soja na região médio-norte mato-grossense podem reduzir a produtividade entre 16% e 30%, o que representa um potencial de perda de até 59 milhões de sacas.

Sintomas e estádios

Os sintomas iniciais costumam surgir entre os estádios R5.1 e R5.5, quando as sementes ainda estão em formação e são perceptíveis ao tato. Nesse momento, observam-se alterações discretas nas vagens (Figura 1A), que, mesmo com aparência externa aparentemente normal, já apresentam comprometimento interno. Com a evolução do processo, observam-se lesões que podem ser escurecidas na parte interna das vagens (Figura 1B), frequentemente associadas à presença de crescimento micelial de fungo nas sementes ainda em desenvolvimento.

Com o avanço da condição, as sementes passam a exibir tegumento enrugado, desuniforme, com coloração escura e perda de massa específica aparente (Figura 1C), embora parte da massa interna ainda possa permanecer preservada (Figura 1D). Essas alterações impactam diretamente a qualidade fisiológica e sanitária da semente, comprometendo o potencial produtivo da soja.

<b>Figura 1 -</b> Sintomas de podridão de sementes de soja, popularmente conhecida como “anomalia”. <b>A-</b> Vagem apresentando sintoma inicial de “anomalia” em plantas na fase R5 (detalhe da seta vermelha). Fonte: Bonaldo (2023). <b>B-</b> Vagem aberta com sementes parcialmente desenvolvidas e presença de degradação interna da parede da vagem, com micélio branco. Fonte: Bonaldo (2023). <b>C-</b> Sementes apresentando escurecimento e enrugamento, com menor massa específica parente. Fonte: Farias (2023). <b>D-</b> Detalhe de semente com comprometimento da integridade tegumentar, porém com massa interna preservada, sem sinais evidentes de deterioração fisiológica ou infecciosa. Fonte: Farias (2023)
Figura 1 - Sintomas de podridão de sementes de soja, popularmente conhecida como “anomalia”. A- Vagem apresentando sintoma inicial de “anomalia” em plantas na fase R5 (detalhe da seta vermelha). Fonte: Bonaldo (2023). B- Vagem aberta com sementes parcialmente desenvolvidas e presença de degradação interna da parede da vagem, com micélio branco. Fonte: Bonaldo (2023). C- Sementes apresentando escurecimento e enrugamento, com menor massa específica parente. Fonte: Farias (2023). D- Detalhe de semente com comprometimento da integridade tegumentar, porém com massa interna preservada, sem sinais evidentes de deterioração fisiológica ou infecciosa. Fonte: Farias (2023)

A distribuição dos sintomas no dossel da planta e entre as sementes não segue um padrão definido. Vagens sintomáticas podem surgir em diferentes partes da planta, e as sementes afetadas ocorrem de forma aleatória dentro das vagens - ou seja, nem todas as sementes de uma mesma vagem necessariamente apresentarão sintomas (Figura 2). No estádio R6, mesmo com a vagem ainda fechada, é possível observar sinais de germinação precoce das sementes, o que pode levar à abertura das vagens em estágios mais avançados (Figura 3).

<b>Figura 2 -</b> Distribuição das vagens sintomáticas de “anomalia” no dossel da planta e na vagem (Fonte: BONALDO, 2023).
Figura 2 - Distribuição das vagens sintomáticas de “anomalia” no dossel da planta e na vagem (Fonte: BONALDO, 2023).
<b>Figura 2 -</b>&nbsp;Distribuição das vagens sintomáticas de “anomalia” no dossel da planta e na vagem (Fonte: BONALDO, 2023).
Figura 2 - Distribuição das vagens sintomáticas de “anomalia” no dossel da planta e na vagem (Fonte: BONALDO, 2023).

Análises  laboratoriais

Diagnósticos laboratoriais realizados em tecidos sintomáticos revelaram a presença de diferentes patógenos, como Fusarium spp., Diaporthe spp. e Colletotrichum spp., sugerindo uma possível interação entre fatores bióticos e abióticos na etiologia da doença. Embora alguns estudos atribuam a causa da podridão de sementes a espécies como Diaporthe ueckeri e Diaporthe longicolla, essa hipótese ainda não é consensual dentro da comunidade científica. Os debates permanecem abertos, e há diferentes interpretações sobre a origem e os agentes envolvidos no complexo sintomatológico observado.

Nosso grupo de pesquisa, por exemplo, isolou um fungo pertencente a um gênero cuja espécie ainda não foi descrita na literatura científica mundial, e dados moleculares indicam tratar-se de um fitopatógeno distinto dos tradicionalmente associados à doença. Esses achados reforçam a necessidade de aprofundamento nas investigações e da construção coletiva de conhecimento sobre o tema, especialmente diante da complexidade do quadro sintomático observado no campo.

Além dos sintomas relacionados à podridão de sementes, nossos monitoramentos de campo - realizados desde a semeadura ao longo das últimas quatro safras - também registraram a ocorrência de lesões hipocotiledonares e fendilhamento da haste (Figura 4). Embora alguns profissionais considerem essas manifestações como variações fisiológicas normais, essa interpretação não encontra respaldo na literatura botânica especializada, o que reforça a necessidade de investigação mais aprofundada sobre sua origem e seu impacto no desenvolvimento da planta.

Diante disso, é fundamental que esses sintomas sejam tratados com o devido rigor técnico e não sejam subestimados como simples variações morfológicas. O diagnóstico correto é essencial para orientar estratégias de manejo eficazes e mitigar potenciais perdas de produtividade associadas a esse tipo de ocorrência.

<b>Figura 4 -</b> Sintomas de lesões hipocotiledonares e fendilhamento da haste em plantas de soja jovens (Fonte: BONALDO, 2023).
Figura 4 - Sintomas de lesões hipocotiledonares e fendilhamento da haste em plantas de soja jovens (Fonte: BONALDO, 2023).

Nesse contexto, pesquisadores da Universidade de São Paulo (USP) e da Universidade Federal de Mato Grosso (UFMT) uniram esforços para compreender, de forma mais aprofundada, como os sintomas da “anomalia” da soja afetam diferentes tecidos vegetais. Como resultado inicial dessa colaboração, foi publicado um resumo expandido na 39ª Reunião de Pesquisa de Soja (Leonardi et al., 2024), apresentando abordagens histológicas e ultraestruturais para análise do problema.

Para esse tipo de investigação, são necessárias tecnologias avançadas de microscopia, que possibilitam a visualização comparativa entre tecidos sadios e doentes por meio de imagens de alta resolução, com o uso de corantes específicos que interagem com grupos químicos distintos, permitindo o destaque de regiões e compostos de interesse (Marques; Soares, 2021).

Assim, amostras de plantas de soja (Glycine max) foram coletadas na Fazenda 3 Irmãos, localizada em Sinop (MT) e levadas para análise na Escola Superior de Agricultura “Luiz de Queiróz”, onde foram preparadas - fixadas (Karnovsky, 1965), coradas com o corante Azul de Toluidina e analisadas em microscópio de luz e microscópio eletrônico de varredura.

Preparo das amostras

Inicialmente, as amostras vegetais passaram por uma série cetônica de desidratação em diferentes graduações de acetona (30%, 50%, 70%, 90% e 100%) e foram imersas gradualmente em resina (Historesin) para que o material fosse totalmente infiltrado, permitindo uma boa visualização em microscopia. Após este processo, as amostras foram colocadas em formas de silicone, onde foram polimerizadas com o endurecimento da resina, e se formaram blocos. Esses blocos foram cortados a 7μm de espessura, com o auxílio de um micrótomo Leica 5460 para a produção de lâminas de vidro. Posteriormente, as lâminas foram coradas com o auxílio de corantes e vistas no microscópio de luz Zeiss AxionVision (Figura 5).

<b>Figura 5 -</b> Representação gráfica do processo de preparo de amostras para análise em microscopia óptica.
Figura 5 - Representação gráfica do processo de preparo de amostras para análise em microscopia óptica.

Resultados das pesquisas

As imagens feitas com uso de técnicas de microscopia e histologia de plantas para a região do caule permitem identificar, em nível de tecido, os sintomas observados no campo pela abertura de fendas que se formam nas plantas (Figura 6).

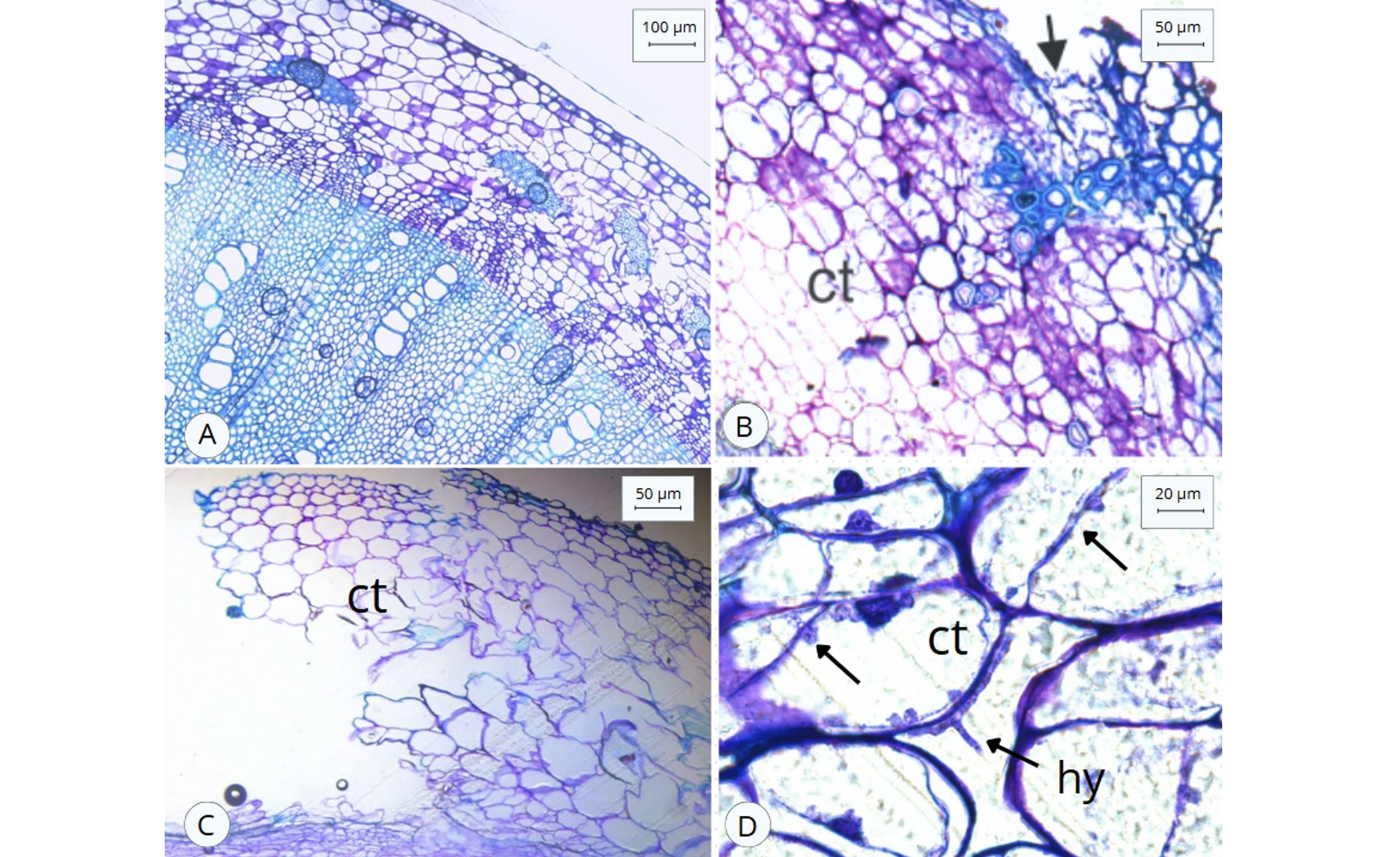
É possível analisar que as plantas que não desenvolveram fendilhamento apresentaram a camada mais externa (epiderme) organizada, com uma camada de células íntegras e a presença de fibras externas à região do floema, sem comprometimento dos vasos condutores (Figura 6A). Porém, em plantas com sintomas de “anomalia”, há o desenvolvimento da fenda, que tem por consequência a perda da epiderme, e, em resposta a esse dano, nota-se a formação de um meristema de cicatrização, como uma tentativa de recuperação por parte da planta (Figura 6B).

Além disso, no córtex, as células apresentaram hipertrofia (aumento de tamanho) e hiperplasia (se multiplicam mais do que o normal). Por fim, notou-se morte celular, células plasmolisadas e a presença de hifas de fungos que se desenvolveram nos espaços entre as células.

<b>Figura 6 -</b> Haste de plantas de soja em corte transversal, vistas em microscopia óptica, coradas com o corante Azul de Toluidina. A- Caule sem a abertura de fenda, com sua estrutura íntegra. B- Caule na região da fenda, em que se forma um meristema de cicatrização e há o destacamento de tecidos lignificados (indicado pelas setas). C- Região do córtex de plantas afetadas pela “anomalia”, com o rompimento da epiderme, células em hipertrofia e hiperplasia, além de células colapsadas. D- Detalhe do córtex, com a presença de hifas fúngicas nos espaços intercelulares e células plasmolisadas. ct - córtex; hy - hifa.
Figura 6 - Haste de plantas de soja em corte transversal, vistas em microscopia óptica, coradas com o corante Azul de Toluidina. A- Caule sem a abertura de fenda, com sua estrutura íntegra. B- Caule na região da fenda, em que se forma um meristema de cicatrização e há o destacamento de tecidos lignificados (indicado pelas setas). C- Região do córtex de plantas afetadas pela “anomalia”, com o rompimento da epiderme, células em hipertrofia e hiperplasia, além de células colapsadas. D- Detalhe do córtex, com a presença de hifas fúngicas nos espaços intercelulares e células plasmolisadas. ct - córtex; hy - hifa.

Considerações finais

Muitos questionamentos ainda existem acerca da “anomalia”, bem como sobre a interação patógeno-hospedeiro, e como ela afeta a produtividade. Além disso, existem dúvidas relacionadas à resposta da planta: se ela se dá exclusivamente pelo ataque dos patógenos, ou se existe outro estresse causador da abertura de fendas na base das plantas que serve como porta de entrada para a infecção fúngica.

Avanços importantes vêm sendo alcançados nas análises moleculares e morfológicas, com o objetivo de identificar com precisão o(s) patógeno(s) envolvido(s) no quadro sintomático observado.

A correta caracterização etiológica é essencial para fundamentar estratégias de manejo mais eficazes e mitigar as perdas de produtividade registradas no campo. Nesse contexto, a histologia e as técnicas de histoquímica emergem como ferramentas complementares de grande valor, ao permitirem uma análise detalhada da interação patógeno-hospedeiro nos diferentes tecidos vegetais.

A integração entre abordagens anatômicas, moleculares e fitopatológicas fortalece a base científica necessária para avançarmos na compreensão da chamada “anomalia” da soja e, sobretudo, para oferecer respostas práticas ao setor produtivo.

Por Heloiza Leonardi (Esalq); Carlos Guilherme Theodoro e Gustavo Farias (UFMT); João Paulo Rodrigues Marques (FZEA/USP); Solange Maria Bonaldo (UFMT)

Artigo publicado na edição 311 da Revista Cultivar Grandes Culturas

Compartilhar

Newsletter Cultivar

Receba por e-mail as últimas notícias sobre agricultura

acessar grupo whatsapp
Background Newsletter

Newsletter Cultivar

Receba por e-mail as últimas notícias sobre agricultura